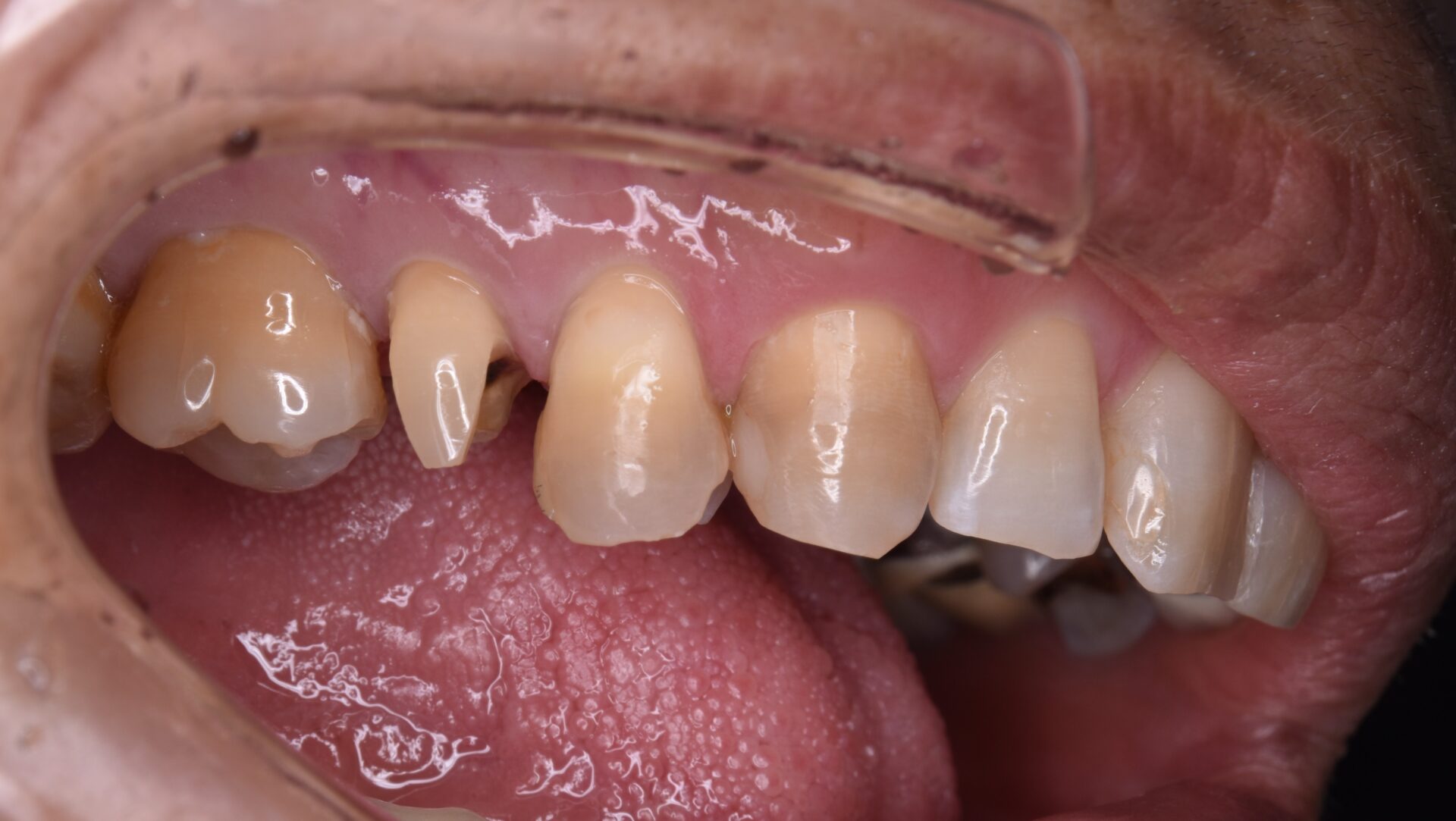
2025年11月14日 審美治療例15 → 患者さんの年齢 54歳 症状 色が気になる 治療内容 セラミックス 費用 13万円 治療期間・回数 2週間・2回 デメリット・リスク 神経を保存して最小限の削合で行う為、破折の可能性あり