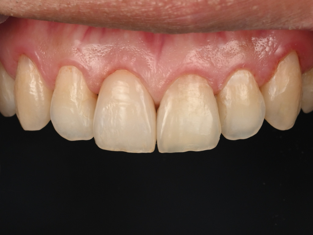
審美治療例22
症例一覧
![]() | → | ![]() |
![]() |
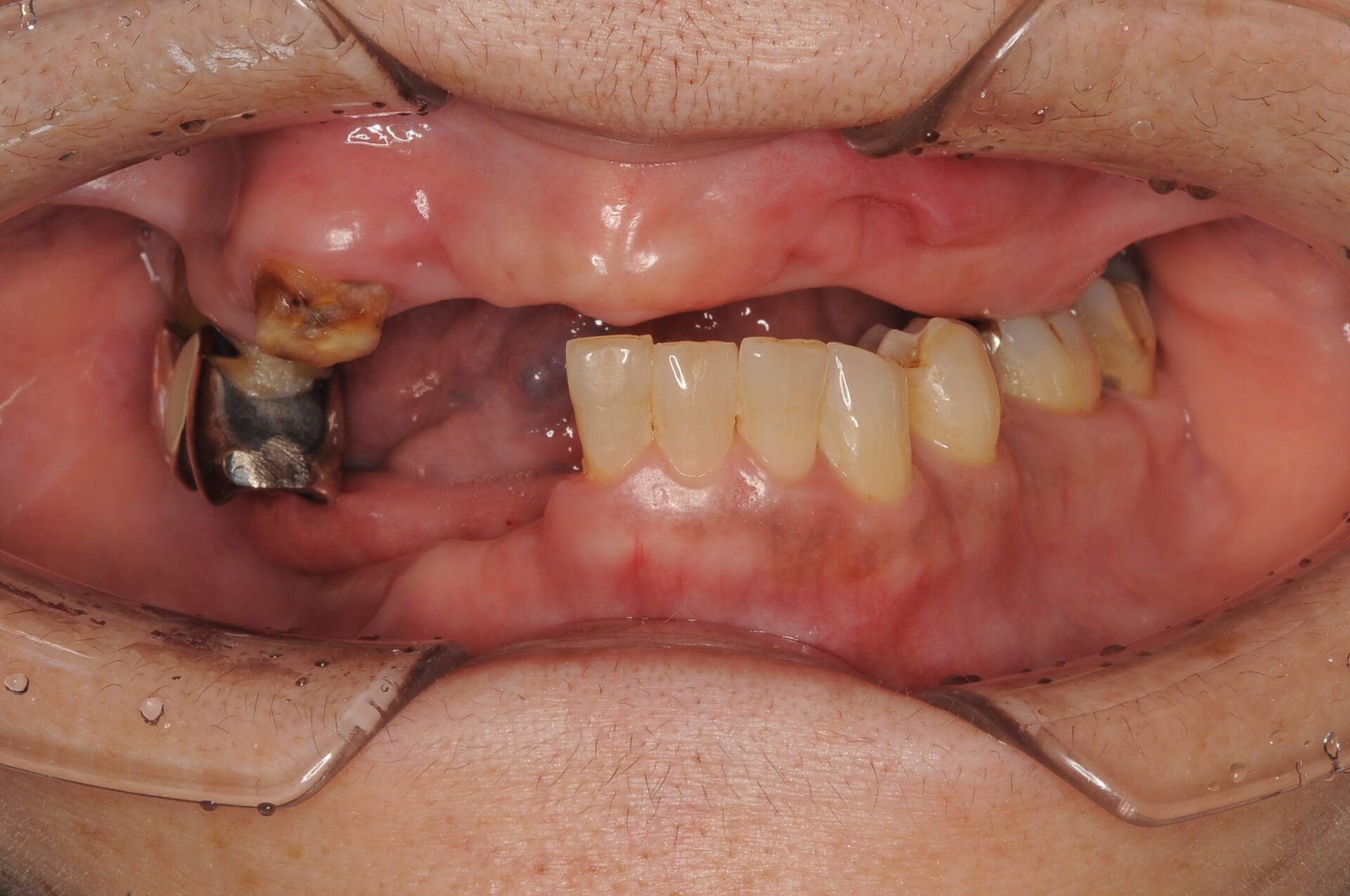
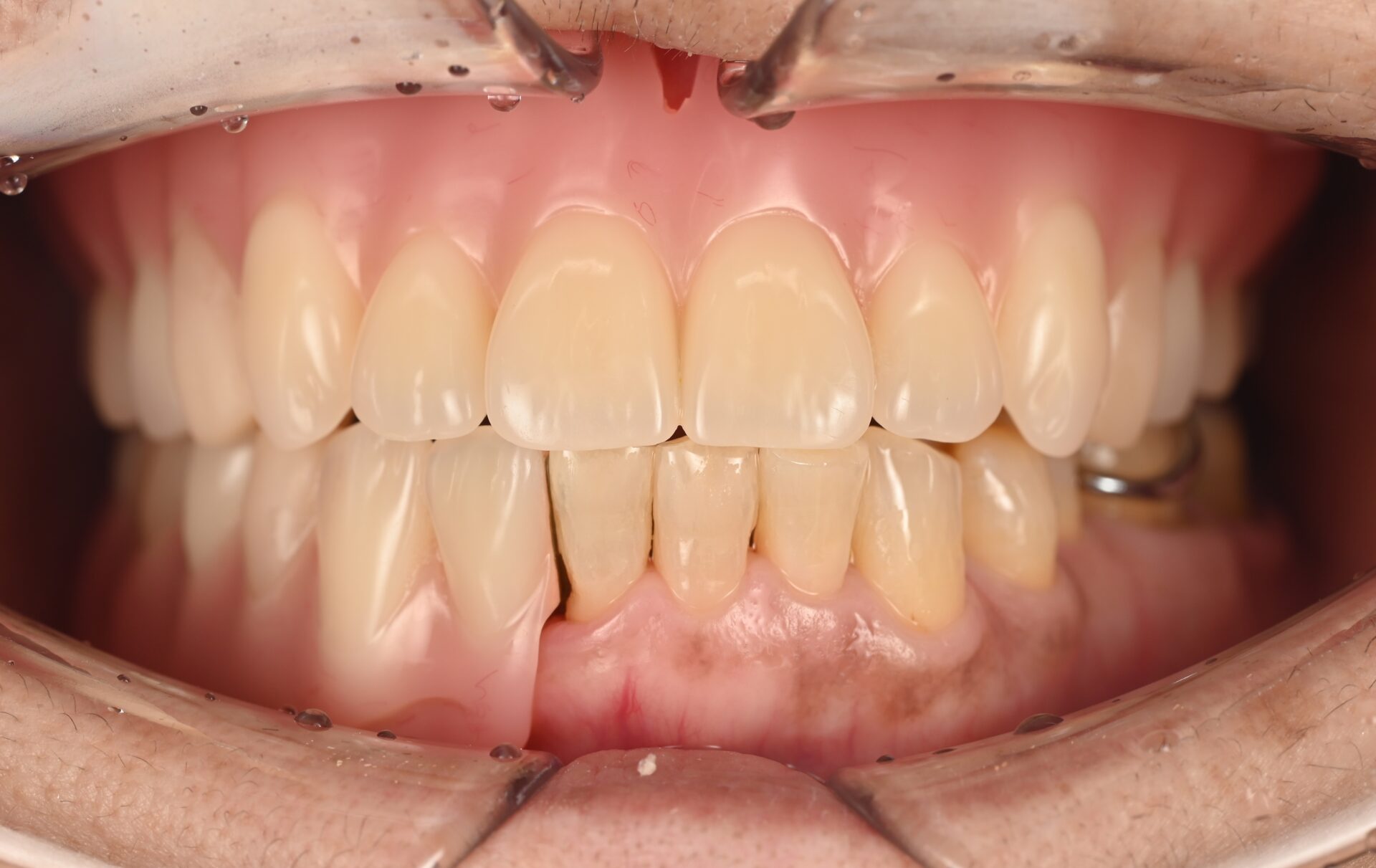
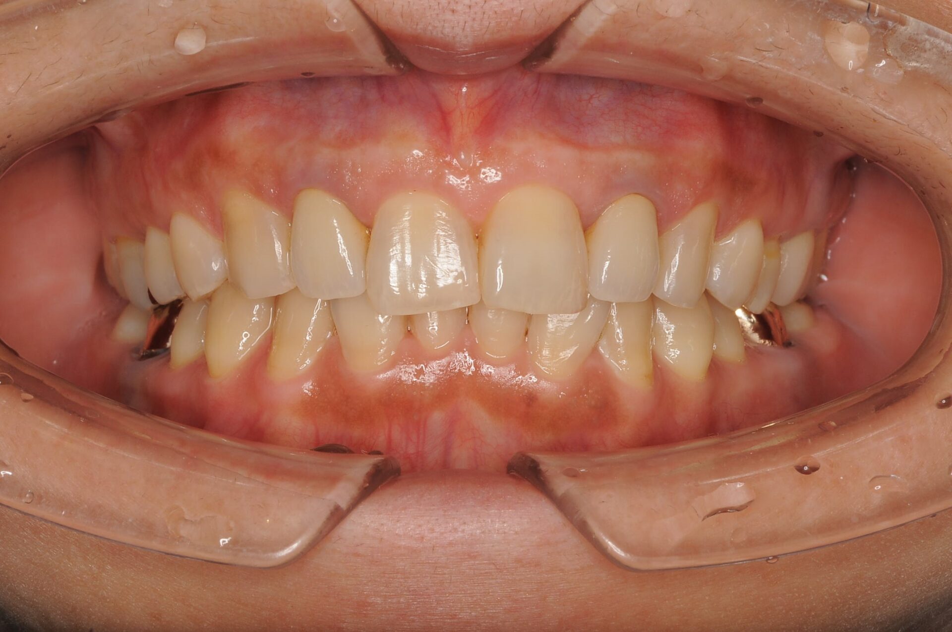
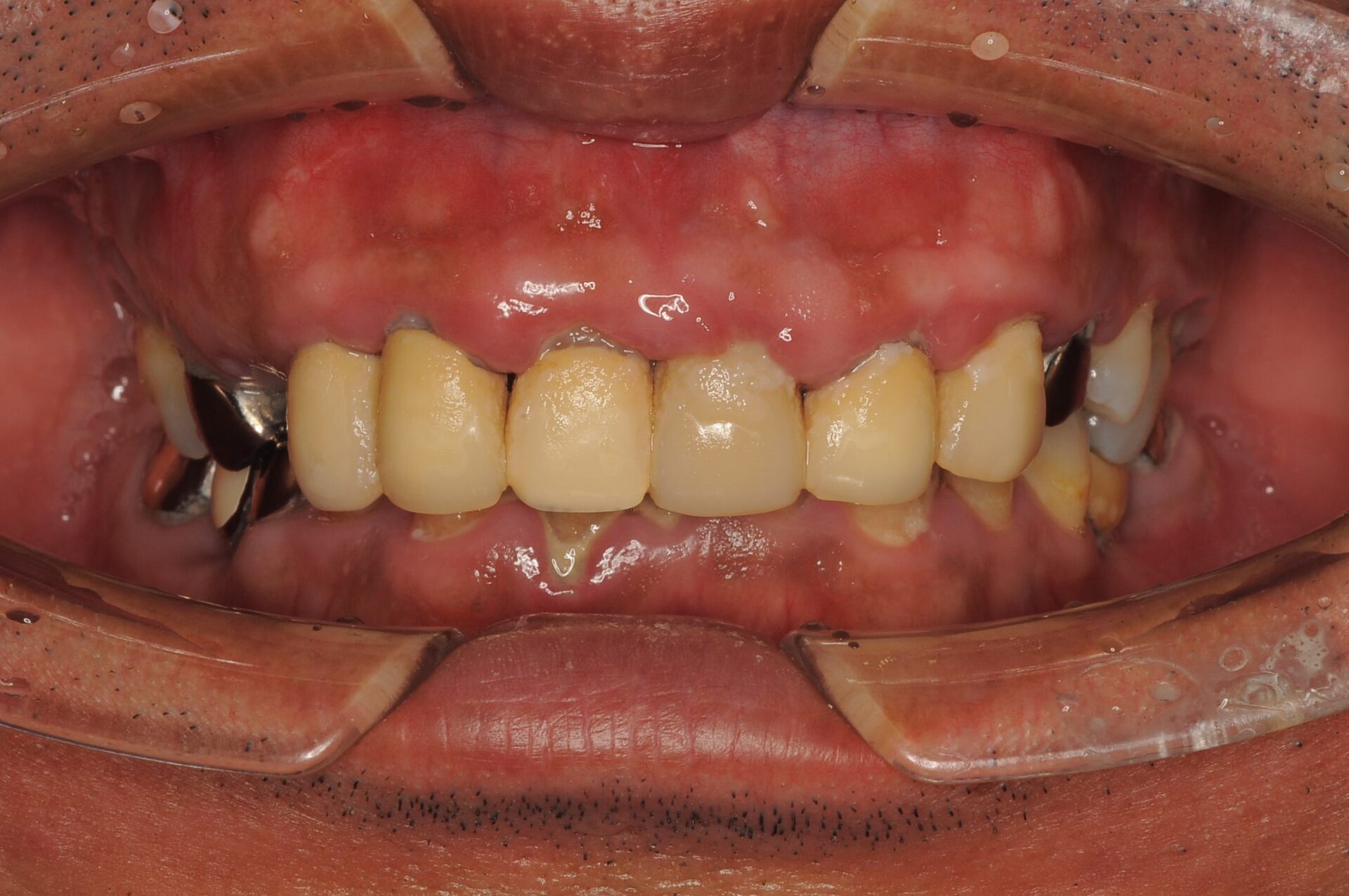
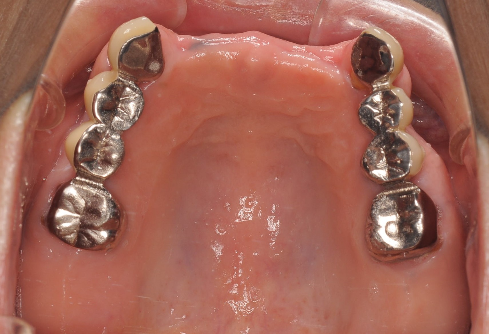
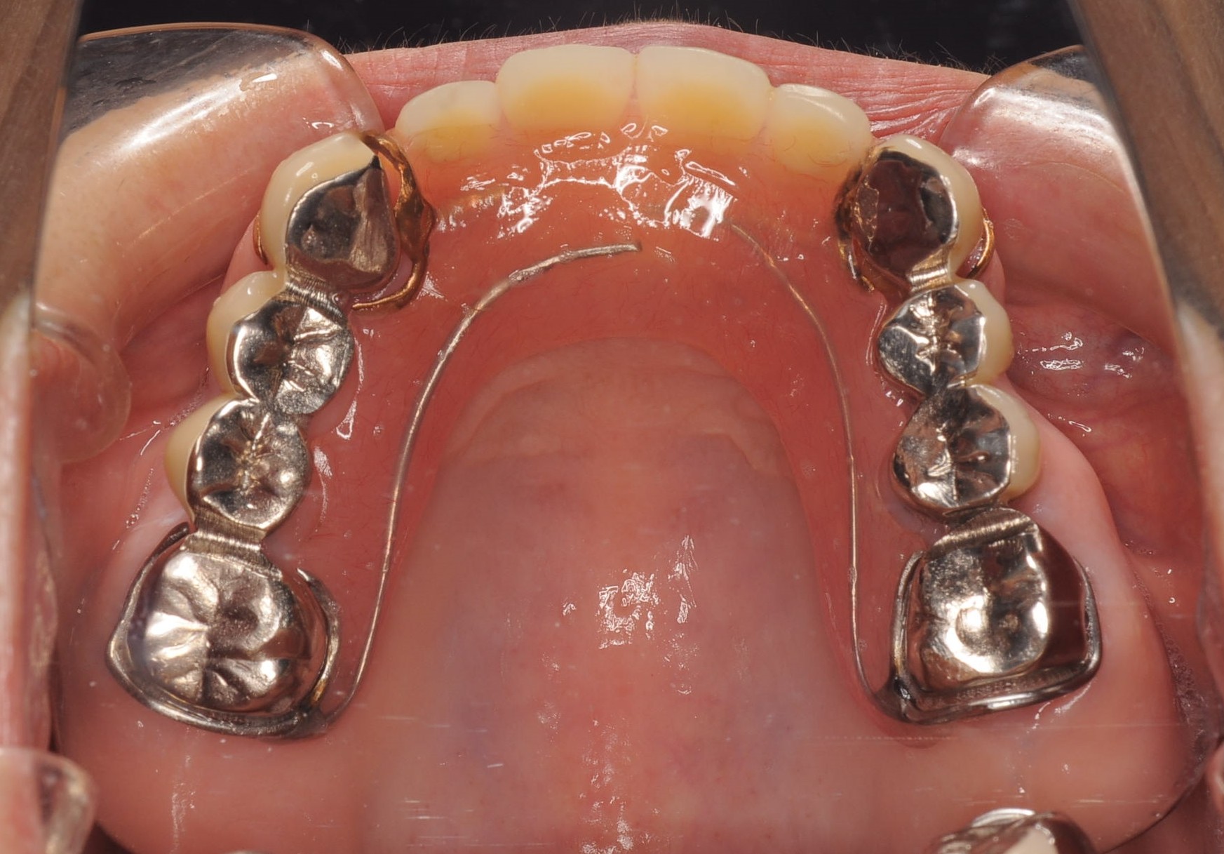
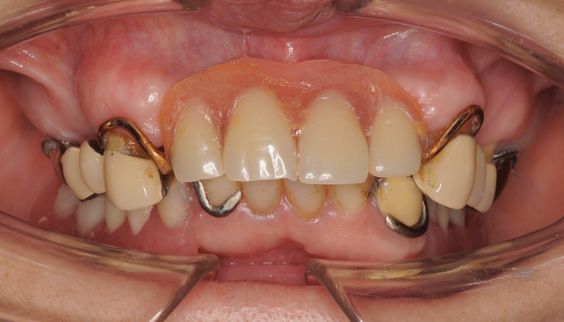
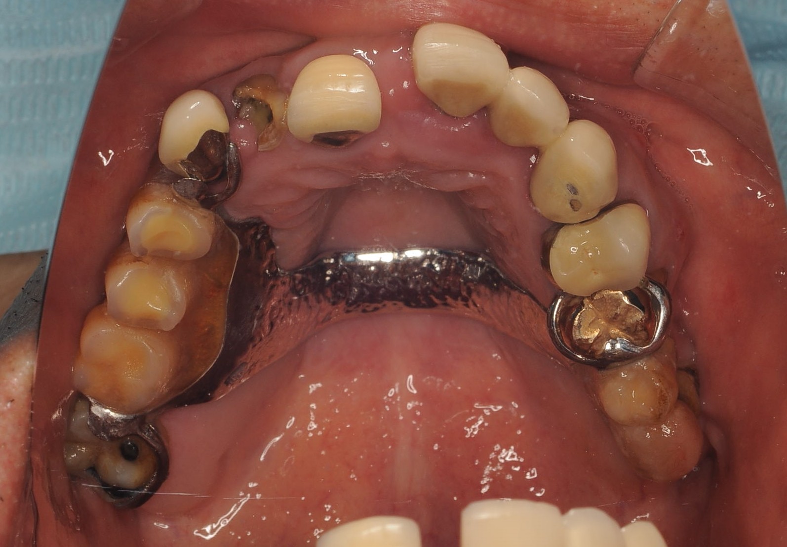
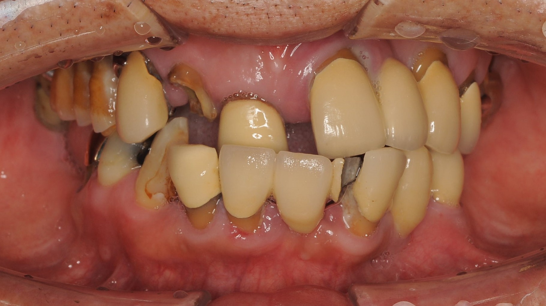
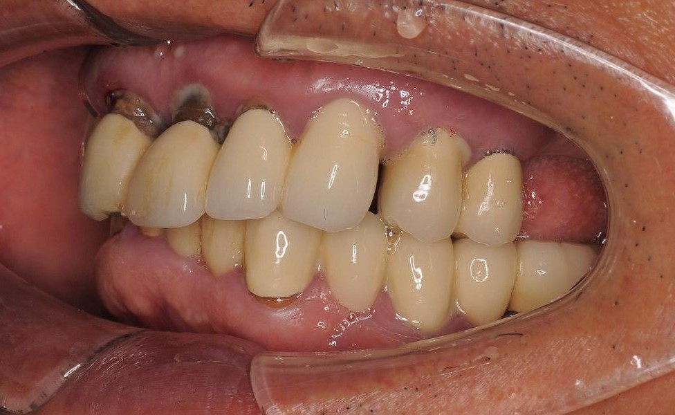
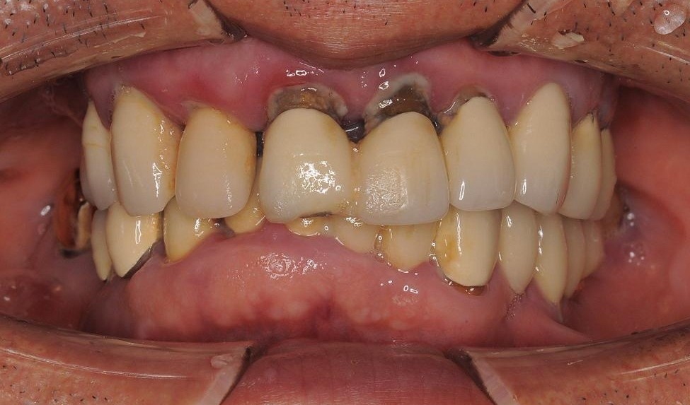
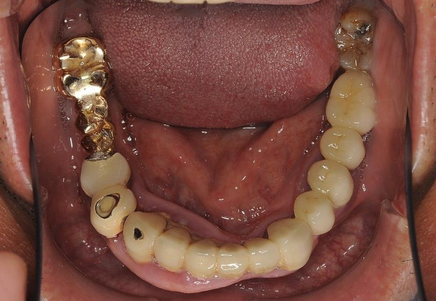
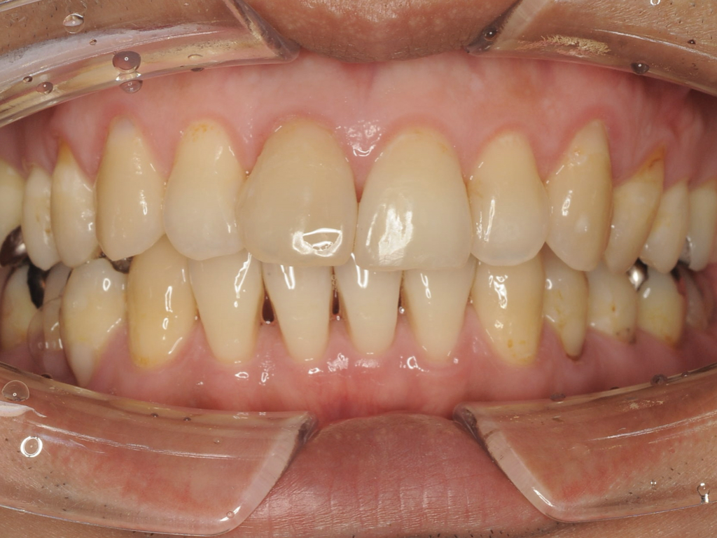
| 患者さんの年齢 | 74歳 |
|---|---|
| 症状 | 歯が悪いので食事が楽しめない |
| 治療内容 | 上顎:総入れ歯、下顎:右下に2本のインプラントにてサポートする対オプの部分入れ歯、被せ物治療。入れ歯であっても見た目を諦めることはありません。 |
| 費用 | 300万円 |
| 治療期間・回数 | 約12ヶ月 |
| デメリット・リスク | 自由診療であるため費用がかかる。手術が必要 |




































