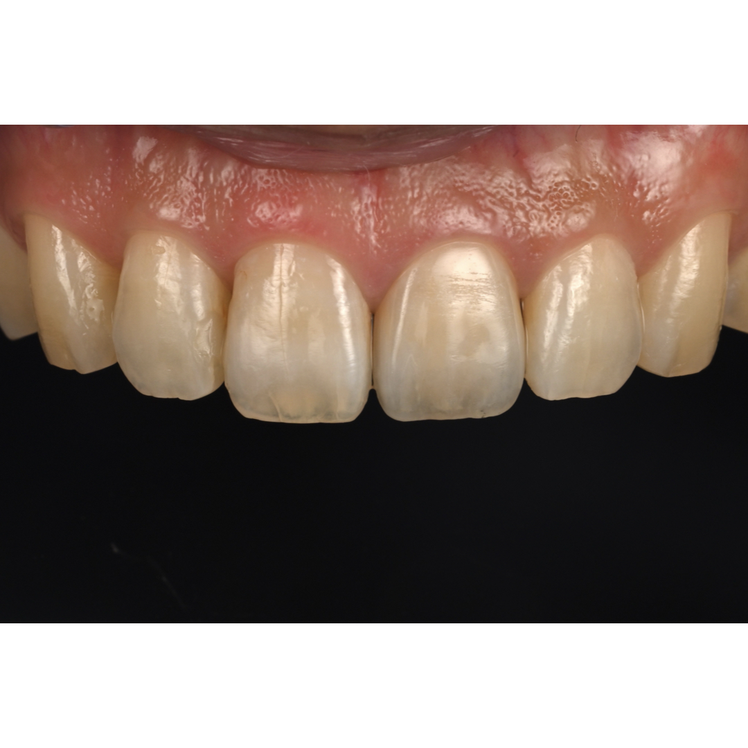
2025年11月19日 審美治療例17 → 患者さんの年齢 49歳 症状 前歯をぶつけた、色が気になる 治療内容 根管治療(MTA治療)、支台築造、被せ物 費用 20万円 治療期間・回数 3ヶ月 デメリット・リスク 色の再現のため歯質をわずかに削る必要がある