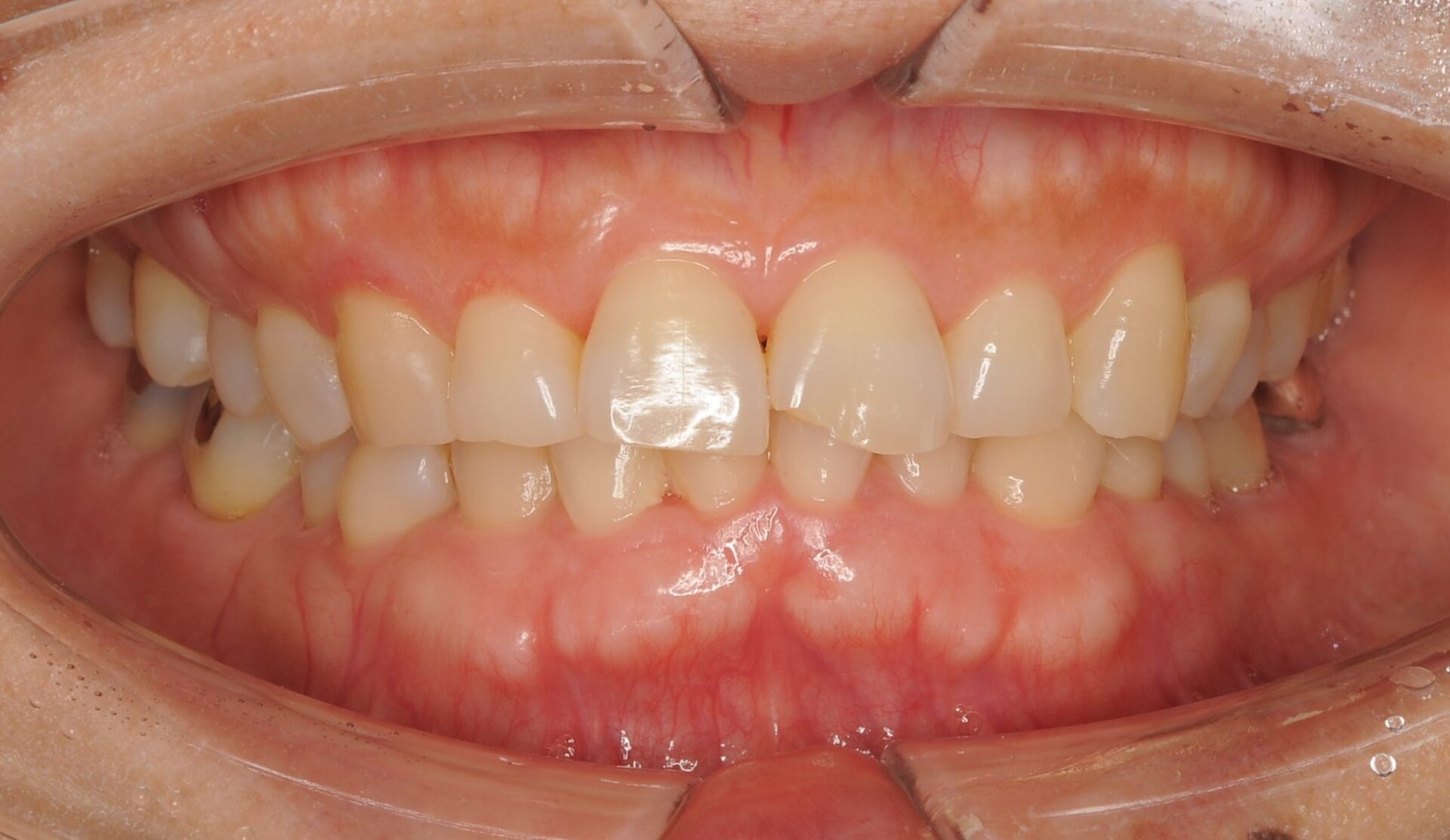
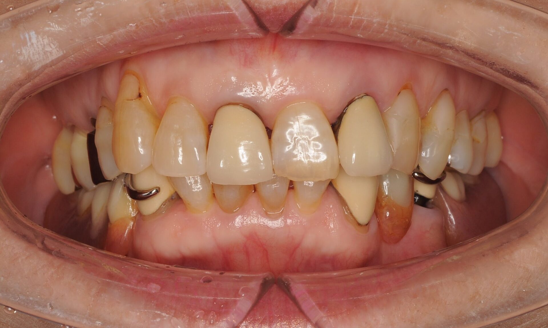
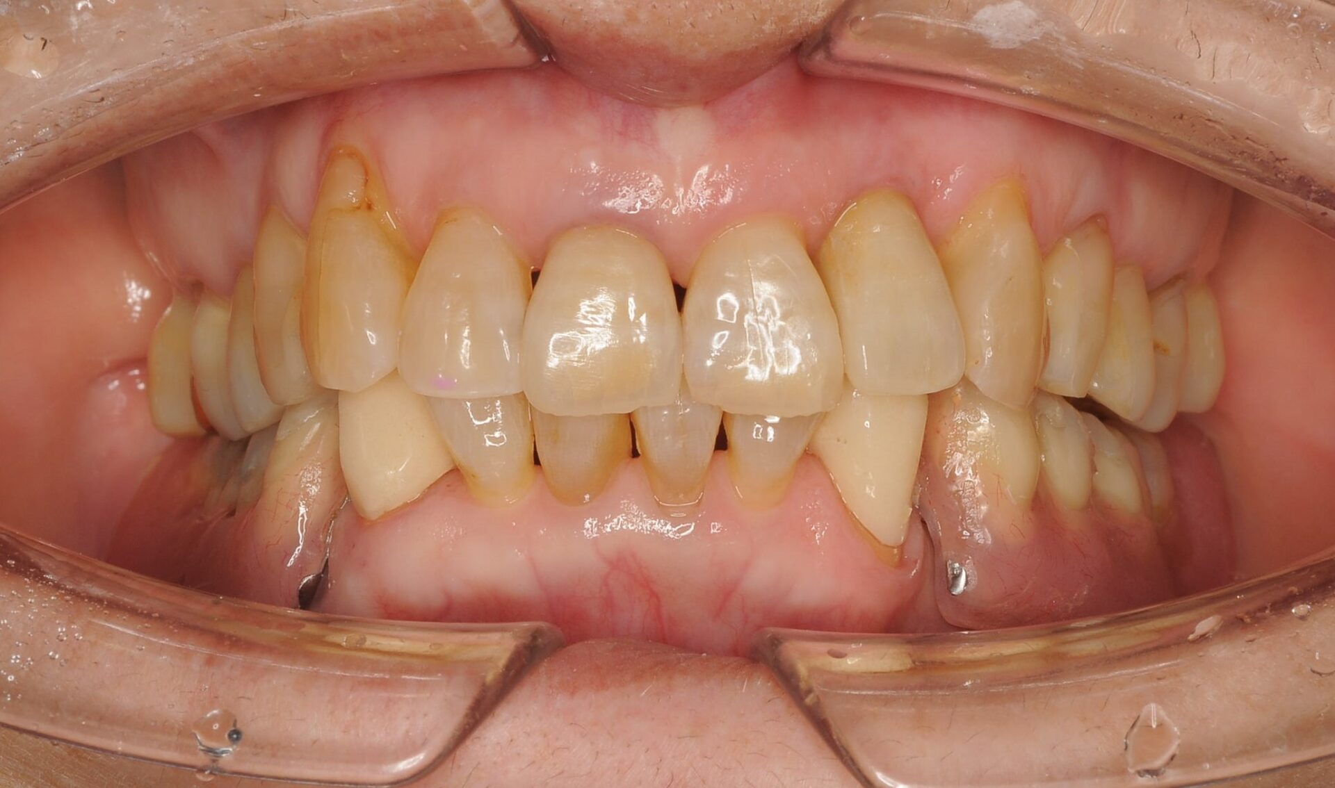
審美治療例15
症例一覧
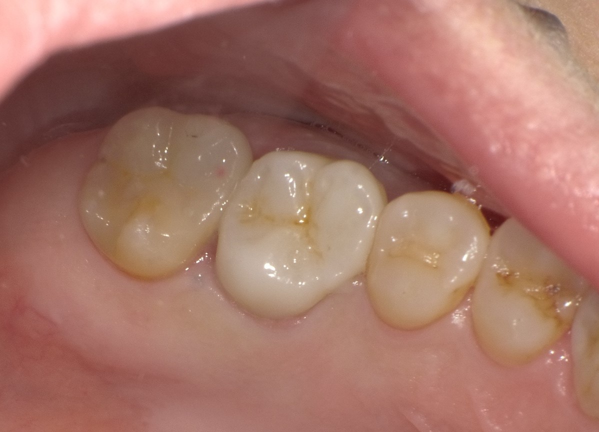
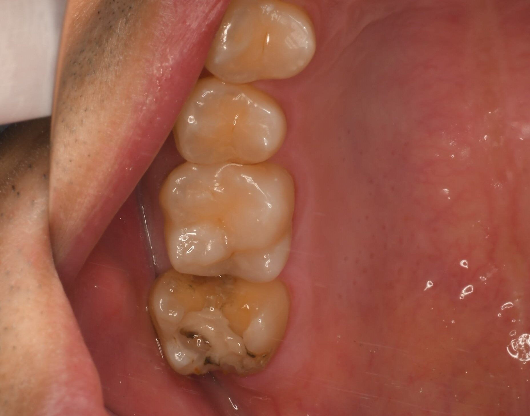
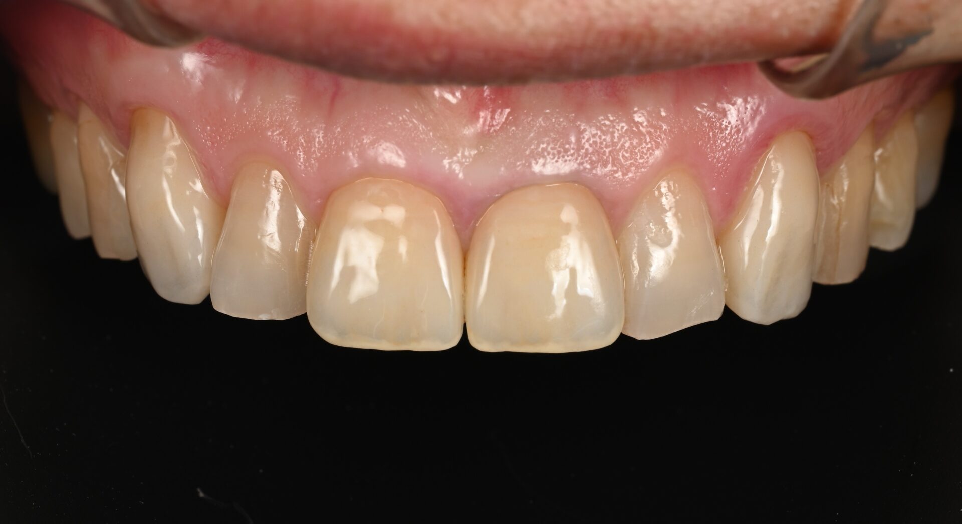
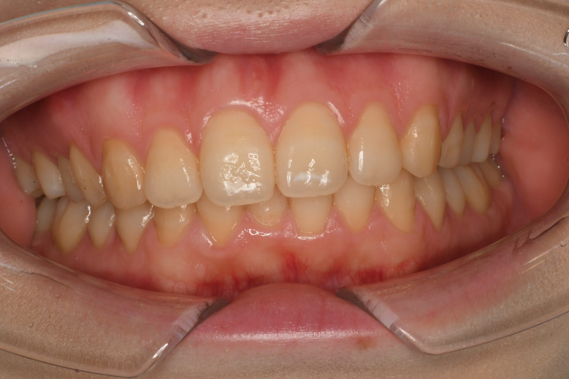
![]() | → | ![]() |
| 患者さんの年齢 | 54歳 |
|---|---|
| 症状 | 色が気になる |
| 治療内容 | セラミックス |
| 費用 | 13万円 |
| 治療期間・回数 | 2週間・2回 |
| デメリット・リスク | 神経を保存して最小限の削合で行う為、破折の可能性あり |





















