審美・インプラント治療例01
![]() | → | ![]() |
![]() |
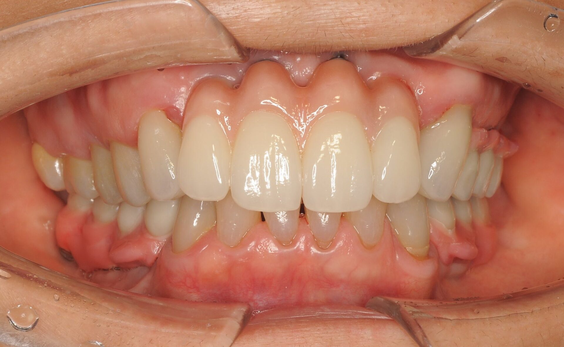
| 患者さんの年齢 | 63歳 |
|---|---|
| 症状 | 前歯のブリッジが外れっぱなし。仕事中に外れ、他人と食事ができない。 |
| 治療内容 | インプラント(4本) |
| 費用 | 200万円 |
| 治療期間・回数 | 1年半・15回 |
| デメリット・リスク | 歯根の状態が悪く骨が少ない為、インプラントにしたがメインテナンスが難しく定期的にクリーニングが必要 |
症例
![]() | → | ![]() |
![]() |
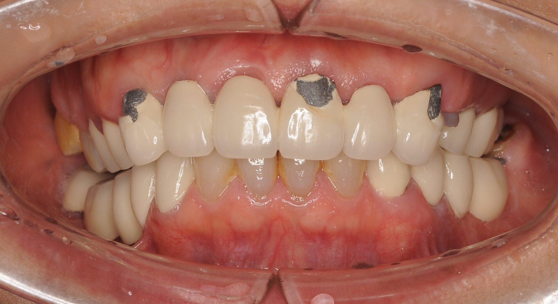
| 患者さんの年齢 | 63歳 |
|---|---|
| 症状 | 前歯のブリッジが外れっぱなし。仕事中に外れ、他人と食事ができない。 |
| 治療内容 | インプラント(4本) |
| 費用 | 200万円 |
| 治療期間・回数 | 1年半・15回 |
| デメリット・リスク | 歯根の状態が悪く骨が少ない為、インプラントにしたがメインテナンスが難しく定期的にクリーニングが必要 |