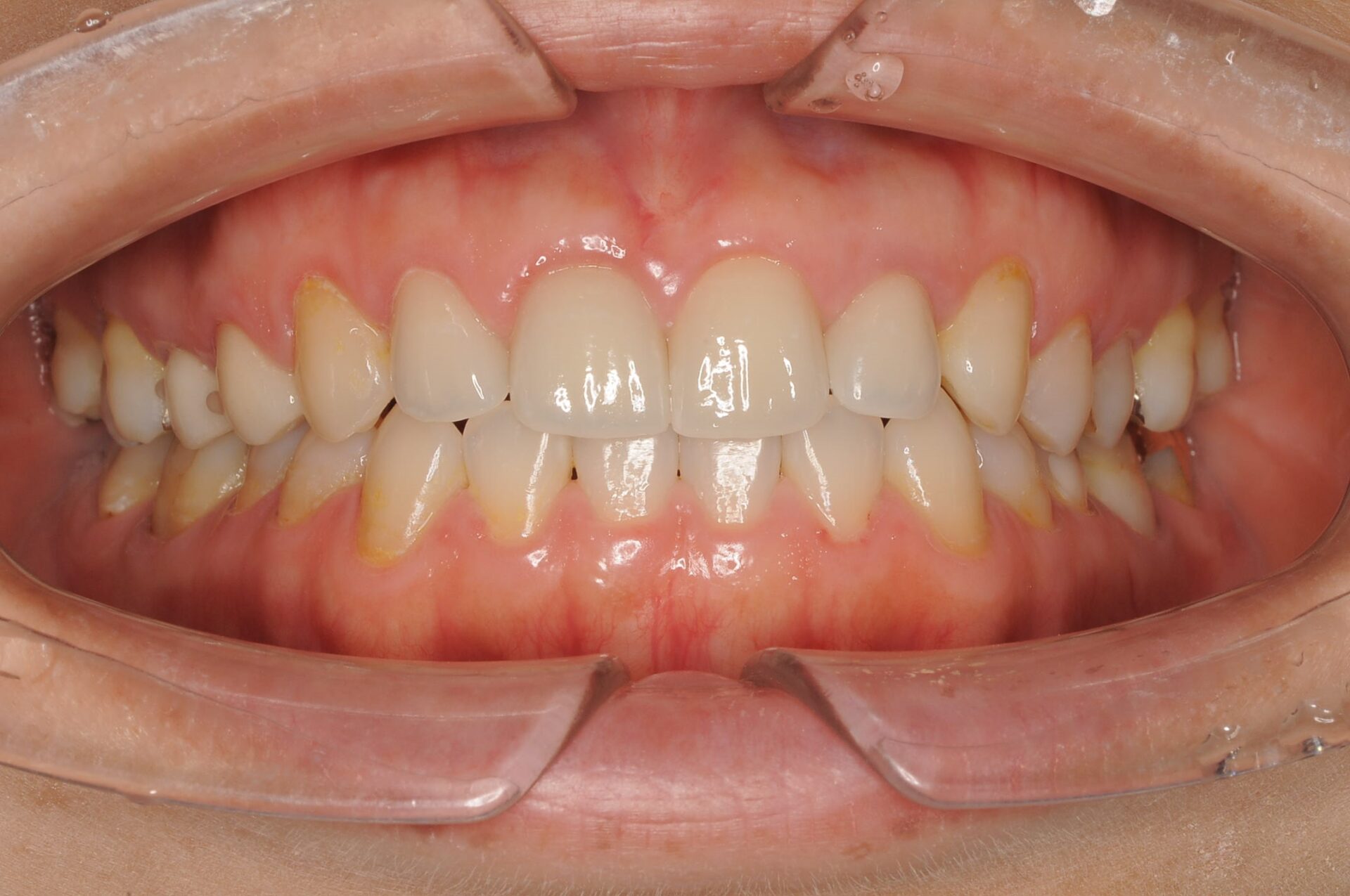
審美治療例10
![]() | → | ![]() |
| 患者さんの年齢 | 54歳 |
|---|---|
| 症状 | 前歯が咬み合っていない、見た目も気になる。偏頭痛がある。 |
| 治療内容 | 根管治療・セラミックス(3本)・ラミネートベニア |
| 費用 | 86万円 |
| 治療期間・回数 | 1年・12回 |
| デメリット・リスク | 歯の寿命を長くする為、なるべく神経を取らない選択しているので、一時的にしみる場合がある。 |
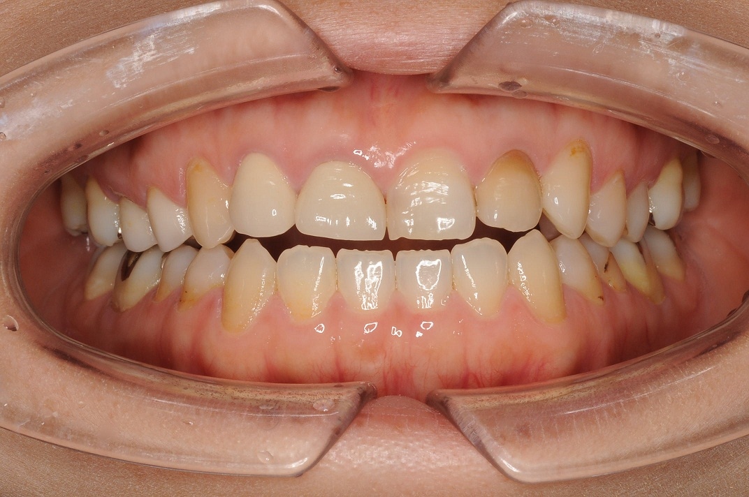
症例
![]() | → | ![]() |
| 患者さんの年齢 | 54歳 |
|---|---|
| 症状 | 前歯が咬み合っていない、見た目も気になる。偏頭痛がある。 |
| 治療内容 | 根管治療・セラミックス(3本)・ラミネートベニア |
| 費用 | 86万円 |
| 治療期間・回数 | 1年・12回 |
| デメリット・リスク | 歯の寿命を長くする為、なるべく神経を取らない選択しているので、一時的にしみる場合がある。 |