審美治療例11
![]() | → | ![]() |
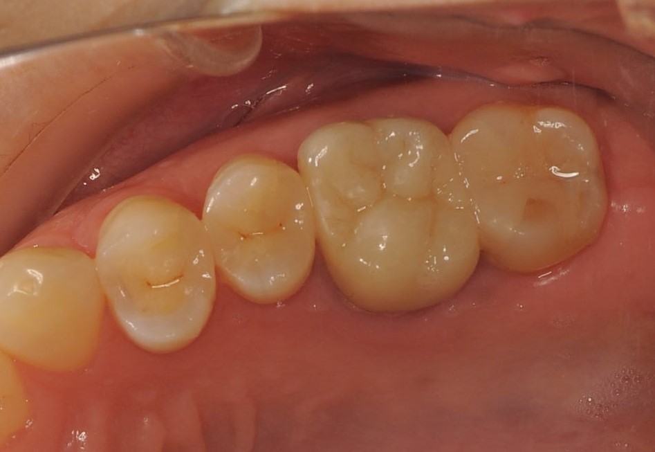
| 患者さんの年齢 | 48歳 |
|---|---|
| 症状 | 費用がかかってもきれいで長持ちするような物を入れたい。 |
| 治療内容 | 根管治療・セラミックス(4本) |
| 費用 | 42万円 |
| 治療期間・回数 | 2年・10回 |
| デメリット・リスク | セラミックが薄い為、審美良好になるが破折のリスク有り。破折したら被せ物にする必要がある。 |
症例
![]() | → | ![]() |
| 患者さんの年齢 | 48歳 |
|---|---|
| 症状 | 費用がかかってもきれいで長持ちするような物を入れたい。 |
| 治療内容 | 根管治療・セラミックス(4本) |
| 費用 | 42万円 |
| 治療期間・回数 | 2年・10回 |
| デメリット・リスク | セラミックが薄い為、審美良好になるが破折のリスク有り。破折したら被せ物にする必要がある。 |