インプラント治療例00
症例一覧
![]() | → | ![]() |
![]() | → | ![]() |
![]() | → | ![]() |
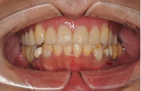
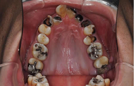
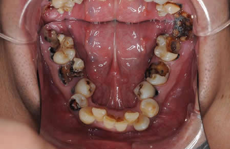
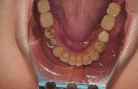
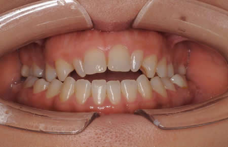
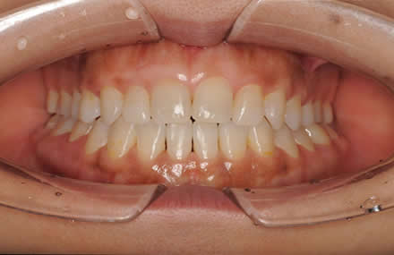
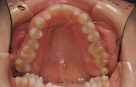
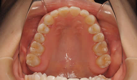
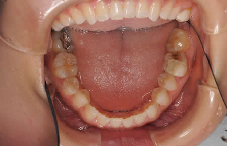
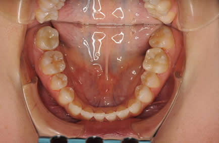
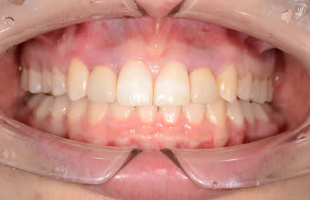
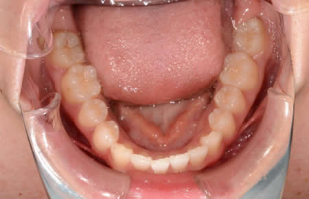
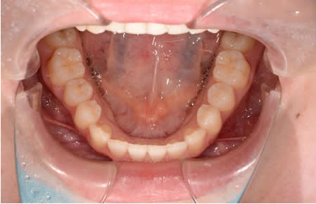
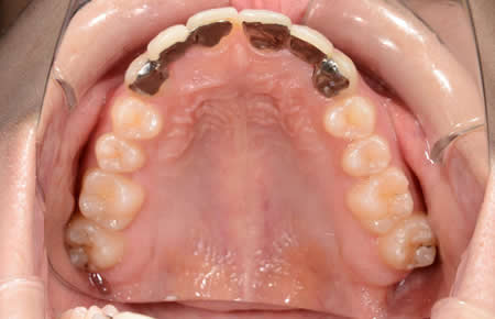
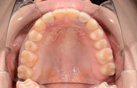
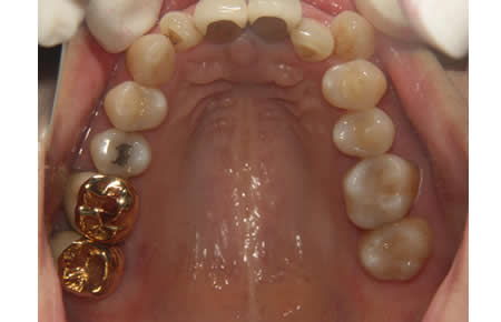
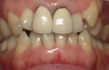
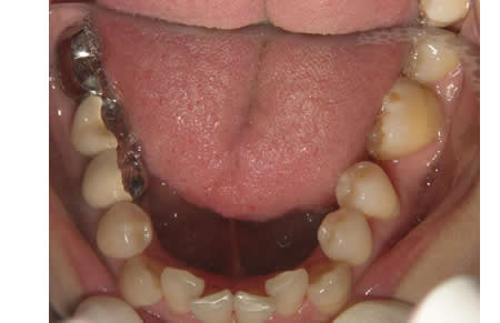
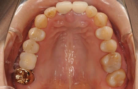
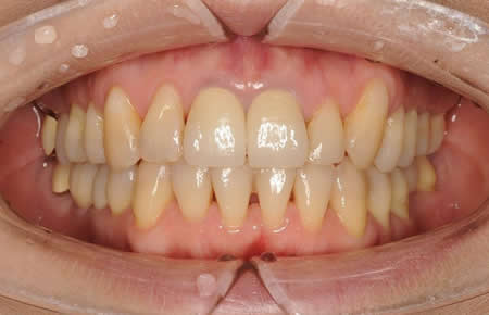
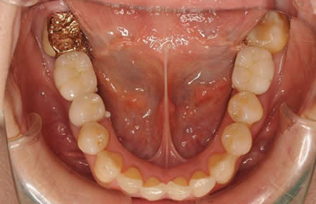
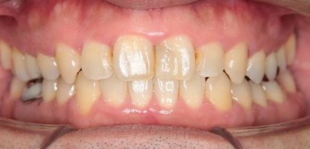
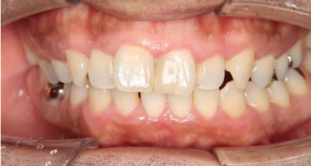
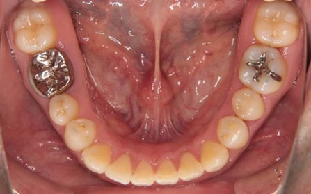
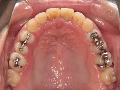
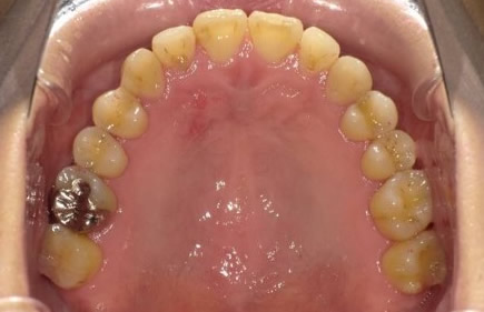
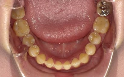
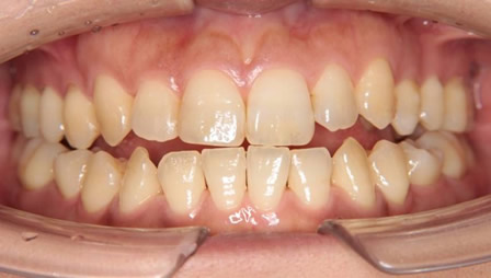
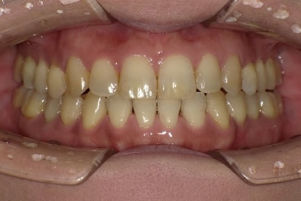
| 患者さんの年齢 | 45歳 |
|---|---|
| 症状 | 食事がしにくい |
| 治療内容 | 矯正治療、インプラント補綴治療 |
| 費用 | 264万円 |
| 治療期間・回数 | 2年間 |
| デメリット・リスク | 手術が必要、期間が長い、費用がかかる |





























































